If multiple dental problems are affecting your smile, comfort, and confidence, a full mouth restoration can provide a complete solution. At Aventura Dentistry, we offer comprehensive full mouth restoration treatments designed to rebuild, restore, and rejuvenate your smile—functionally and aesthetically.
This personalized approach addresses complex dental concerns in a coordinated plan, helping you achieve a healthy, balanced, and natural-looking smile that lasts.

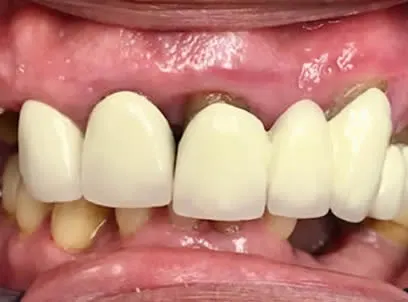
A full mouth restoration is a customized dental treatment plan that restores or replaces most—or all—of the teeth in the upper and lower arches. It is ideal for patients with multiple oral health issues that cannot be resolved with a single procedure.
Rather than treating problems individually, full mouth restoration looks at the entire mouth as a system, improving:
The result is a stronger, healthier, and more confident smile.
Every treatment plan is unique, but a full mouth restoration may include a combination of the following:
Your dentist will recommend only the procedures necessary to meet your goals and protect long-term oral health.

You may be a good candidate if you experience:
Some patients also choose full mouth restoration to improve alignment or aesthetics without undergoing long-term orthodontic treatment.
Patients often experience life-changing improvements, including:


A successful full mouth restoration starts with careful planning and expertise.
Step 1: Comprehensive Evaluation
We perform a complete exam, including digital X-rays, photographs, and impressions to assess teeth, gums, bone, and jaw function.
Step 2: Oral Health & Bite Analysis
We evaluate decay, infections, gum health, bite alignment, and TMJ concerns.
Step 3: Personalized Treatment Plan
Your dentist creates a step-by-step plan tailored to your needs, goals, timeline, and budget.
Step 4: Review & Scheduling
We review all options with you, explain benefits and risks, and outline costs and expected outcomes.
Step 5: Treatment & Follow-Up
Procedures are scheduled in phases to ensure comfort, healing, and long-term success.
If dental problems are affecting your quality of life, a full mouth restoration may be the solution. Contact Aventura Dentistry today to schedule a consultation and take the first step toward a healthier, confident smile.