

This patient came to Dr. Diana Wohlstein’s dental practice in Aventura, FL wanting a more straight, aligned smile. Dr. Wohlstein explained that due to the shape of his teeth orthodontic treatment would not achieve the desired result. Instead, Dr. Wohlstein improved both the alignment, color and overall shape of the smile by using a combination of dental crowns and dental veneers. The before and after dental photos show the amazing results.


With this case we can see how porcelain laminate veneers can dramatically improve a smile. The dental patient came to see Dr. Diana Wohlstein of Aventura, FL feeling self conscious about his smile. Both the size of his front teeth and large gaps created a smile, he couldn’t be confident with. The result is a beautiful smile, that is more proportionate. This results were accomplished in just two dental visits. The patient loves his new smile!


This female dental patient from Sunrise, FL had extensive decay from years of poor dental hygiene. Through a complimentary dental consultation Dr. Diana Wohlstein recommended a full mouth reconstruction. The dental treatment plan included porcelain crowns, porcelain laminate veneers, and deep periodontal cleaning. The final result was transformative. The Sunrise, FL dental patient felt rejuvenated! She is now a regular dental patient of Dr. Wohlsteins and comes for her regular dental check ups.


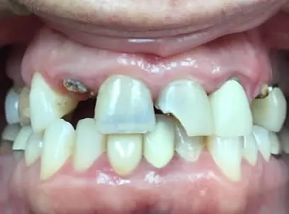
This dental patient came to our Sawgrass Dental Office located in Sunrise, FL for dental crowns and porcelain veneers. Dr. Diana Wohlstein removed the patient’s old gold dental crowns and replace them with tooth-colored dental crowns. In addition, Dr. Wohlstein added three new porcelain crowns to create a truly natural looking smile.


This patient from Sunrise, FL decided he wanted to improve his smile. Dr. Diana Wohlstein placed six porcelain laminate veneers on the front teeth, completely transforming his smile.


This dental patient from Aventura, FL was interested in improving her smile, but she was congenitally missing laterals and had big gaps which made her smile ugly and incomplete. By doing a wrap around fixed bridge, wrapping the small teeth and creating newer and more fuller shapes she became happier and improved her self esteem by improving her smile.


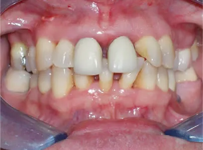
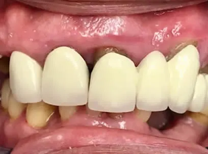
Patient came to our dental office in Aventura complaining that his existing teeth and bridges were not looking aesthetically appealing. Dr. Diana Wohlstein complete replaced all dental crowns and dental bridges improve midline, shape, and color of the smile.


Before & After case description coming soon…


Before & After case description coming soon…


Before & After case description coming soon…


Before & After case description coming soon…


Male patient from Sunrise, FL came to Dr. Wohlstein in need of a full mouth reconstruction. The Sunrise dental patient was tired of his old and uncomfortable upper partial denture and was in desperate need of quality dental work. Dr. Wohlstein performed a full mouth reconstructive case including fixed dental bridges.


Featured - Case 14 – Dentures


Case description coming soon…


Case description coming soon…


Case description coming soon…


Case description coming soon…


Case description coming soon…


Case description coming soon…


Case description coming soon…


Case description coming soon…


Case description coming soon…


Case description coming soon…